بزرگراه
-
مینی بوس با مرد جوان تصادف کرد کامیون بنز واژگون شد / در اتوبان امام علی رخ داد + عکس
رکنا: مرد جوان بر اثر تصادف با مینی بوس در اتوبان امام علی جان باخت.
| -
هریداران مسکن بخوانند | قیمت آپارتمان در تهران؛ ۲۴ تیر ۱۴۰۱
قیمت آپارتمان در مناطق ۲۲ گانه تهران را میتوانید در این گزارش مشاهده کنید.
| -
جزئیات خط ۱۰ متروی تهران؛ مترو به شمال و غرب میرسد
مجری خط ۱۰ متروی تهران در مورد جزئیات این خط توضیحاتی ارائه کرد و گفت: برآورد اعتبارات مورد نیاز این خط مترو بر پایه…
| -
فیلم / لاستیک فراری فاجعه آفرید/ تصادف زنجیره ای در بزرگراه 38 کیلومتری مسکو
رکنا: برخورد 9 خودرو بر اثر چرخ پرنده صبح روز جمعه 8 ژوئیه در 38 کیلومتری ضلع بیرونی جاده کمربندی مسکو رخ داد
| -
عکسی از سوختن بنز در یکی از اتوبانهای تهران
رئیس مرکز اطلاع رسانی پلیس راهور تهران بزرگ از آتش گرفتن یک دستگاه سواری بنز در بزرگراه امام علی (ع) خبر داد.
| -
خودسوزی بنز میلیاردی در بزرگراه امام علی! +عکس
رئیس مرکز اطلاع رسانی پلیس راهور تهران بزرگ از آتش گرفتن یک دستگاه سواری بنز در بزرگراه امام علی (ع) خبر داد.
| -
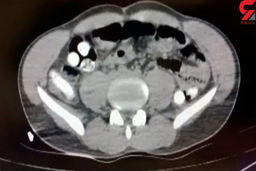
عکس معده مسافر ایرانی در ترکیه که جهانی شد + عکس
تصویری از معده فردی که ۱۰۲ کپسول حاوی تریاک را قورت داده بود.
| -
این مرد آبروی ایرانی ها را در شهر آغری ترکیه برد + فیلم
رکنا : تصاویر معده یک مسافر ایرانی در ترکیه که ۱۰۲ کپسول حاوی تریاک را قورت داده بود را می توانید در این خبر ببینید.
| -
شلیک یک ایرانی به افسر پلیس آمریکایی+ عکس پژمان ایرج خسروآبادی
رکنا: پژمان ایرج خسروآبادی به یک افسر پلیس در لس آنجلس تیراندازی کرد.
| -
ساعت طرح ترافیک تغییر می کند | احتمال افزایش دو ساعته طرح ترافیک
تغییر ساعت کاری ادارات تهران از هفته جاری اجرایی شد اما ساعت طرح ترافیک بدون تغییر ماند. امروز قرار است در مورد این…
|