عضو گروه هوش مصنوعی WHO خبر داد
ایران سامانه هوش مصنوعی تشخیص کرونا را رایگان به کشورها می دهد
عرضه رایگان سامانه ایرانی هوشمند تشخیص کرونا به جهان

سامانه هوشمند تشخیص کووید ۱۹ به مراکز درمانی و تحقیقاتی سراسر دنیا به صورت رایگان عرضه خواهد شد.
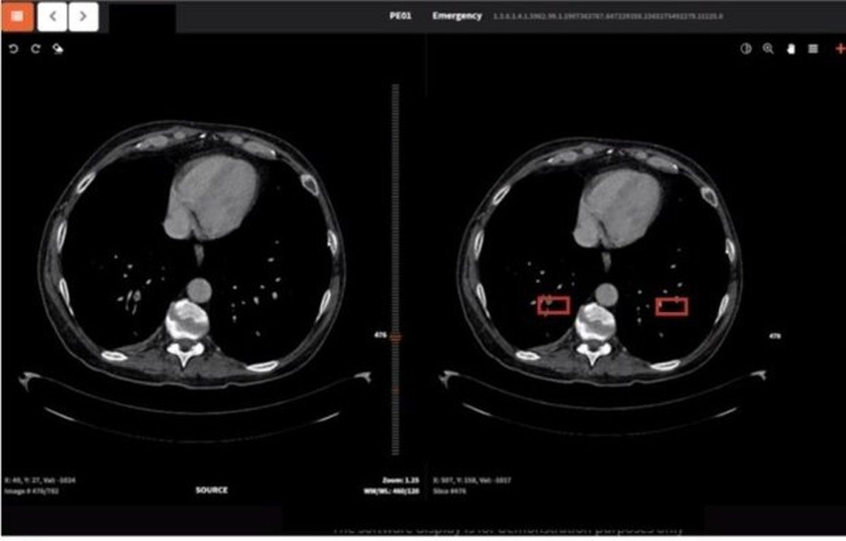
به گزارش خبرگزاری مهر به نقل از ستاد ارتباطات و اطلاعرسانی بنیاد مصطفی(ص)، حمیدرضا ربیعی، استاد دانشگاه صنعتی شریف، عضو گروه علمی هوش مصنوعی در سلامت سازمان جهانی بهداشت (WHO) و رئیس گروه علم و فناوری اطلاعات و ارتباطات جایزه مصطفی(ص) در خصوص سامانه هوشمند تشخیص کووید ۱۹ گفت: روشهای مختلفی برای تشخیص کووید ۱۹ وجود دارد؛ اما یکی از بهترین روشها که دقت بالایی دارد، استفاده از تصاویر سیتی اسکن قفسه سینه توسط پزشک متخصص است و تاکنون چندین فعالیت در راستای استفاده از هوش مصنوعی جهت کمک به تشخیص این بیماری انجام شده است.
وی در ادامه عنوان کرد: کشور چین از هوش مصنوعی برای تشخیص این بیماری استفاده کرده است و یک شرکت برخاسته از دانشگاه استنفورد آمریکا نیز فعالیتهایی را در این زمینه انجام داده است. ما نیز با تمرکز بر روی کاربرد هوش مصنوعی در سی تی اسکن، با نوآوری سامانهای را برای تشخیص سریع و با دقت کووید ۱۹ طراحی کردهایم که قابلیت تخمین حجم ناحیه عفونی را نیز داراست.
این سامانه در اختیار پزشکان و مراکز درمانی جهان قرار میگیرد
رئیس گروه علم و فناوری اطلاعات و ارتباطات جایزه مصطفی (ص) همچنین افزود: سیستمهایی که در کشور چین یا آمریکا استفاده میشود، دقتی بالای ۹۰ درصد دارند. این سامانه که حاصل نبوغ جوانان دانشمند ما است با پیش پردازش نوآورانه بر روی تصاویر سیتی اسکن و استفاده از راهکارهای توصیف پذیری در یادگیری ماشینُ، سامانهای با دقت و حساسیت بالاتری را به وجود آورده است.
به گفته وی سامانهای که این تیم تحقیقاتی براساس هوش مصنوعی طراحی کرده است با نوآوری در پیش پردازش و پردازش تصاویر در شبکههای عمیق توصیف پذیر، توانسته است به صورت پایدار و در زمانی کمتر از یک دقیقه، نتایج خوب و با دقت و حساسیت بالای ۹۷ درصد را به دست آورد؛ علاوه بر این سامانه حجم نواحی عفونی را نیز محاسبه میکند.
وی افزود: این سامانه به طور رایگان در اختیار پزشکان و مراکز درمانی جهان قرار میگیرد تا با توجه به تعداد زیاد بیماران بتواند به پزشکان در تشخیص این سریع و با دقت این بیماری کمک کند.
وی با بیان اینکه کووید ۱۹ در برخی از تصاویر در مراحل اولیه بیماری با چشم غیرقابل مشاهده است، تصریح کرد: از بیمارستانهای مختلف، نمونههایی را داشتهایم که امکان تشخیص این بیماری برای آنها از مشاهده تصاویر وجود نداشته است اما سامانه هوشمند ایرانی باتوجه به طراحی مناسب آن توانسته است بیماری را در مراحل اولیه تشخیص دهد.
ربیعی در ادامه گفت: این سیستم با مدیریت بنده و همکاری دکترحسین قناعتی استاد رادیولوژی دانشگاه علوم پزشکی تهران، گروه تحقیقاتی و همکاری دانشگاههای علوم پزشکی تهران، ایران، اصفهان وکرمان انجام شده و مرکز رادیولوژی تهران و بیمارستان بقیه الله نیز تصاویر ارزشمندی را برای طراحی سامانه به تیم ما ارائه دادهاند. قطعاً بدون وجود رادیولوژیستها و پزشکان متخصص طراحی این سامانه غیر ممکن بود و امیدواریم این سامانه به عنوان یک دستیار هوشمند در اختیار رادیولوژیستها قرار میگیرد.
عرضه سامانه به کشورهای دیگر
ربیعی با اشاره به اینکه در حال حاضر از کشورهایی مثل کانادا، رومانی و اندونزی درخواستهایی را برای استفاده از این محصول داشتهایم، گفت: استفاده از سامانههای پزشکی، نیازمند انجام یکسری تمهیدات قانونی، حقوقی و اخلاقی است که این اقدامات از هفته پیش در حال انجام است و به زودی ارسال این محصول به متقاضیان آغاز میشود؛ سامانهای که توسط تیم تحقیقاتی ما طراحی شده است قابل نصب بر روی دستگاههای پکس بیمارستانی، دسکتاپ و وب است و هر سه نوع راهکار در دسترس است و از هفته آتی این سیستم در بیمارستانهای یزد، قمُ، قزوین و تهران نصب و راهاندازی خواهد شد و برای عرضه سامانه به خارج از کشور نیز برنامه داریم.
آماده همکاری با کشورهای اسلامی هستیم
ربیعی همچنین افزود: امیدواریم این سامانه هوشمند را به سرعت در اختیار کشورهای اسلامی قرار دهیم و آماده تبادل علمی با کشورهای اسلامی هستیم و مطالعات انجام شده برای تحقیقات بیشتر در اختیار این کشورها قرار میگیرد.
رئیس کارگروه علم و فناوری اطلاعات و ارتباطات جایزه مصطفی (ص) گفت: مسلماً یکی از مباحث مهم برای گسترش همکاری بین کشورهای اسلامی، اطلاعرسانی است؛ بنیاد علم و فناوری مصطفی (ص) با شبکه گستردهای که در کشورهای اسلامی دارد میتواند ارتباط خوبی با آنها برقرار کند و ما از این موضوع استقبال میکنیم و امیدواریم بتوانیم این سامانه را در اسرع وقت در اختیار کشورهای اسلامی قرار دهیم.
کرونا تا زمان تولید دارو و واکسن در کنار ما هست
وی همچنین بیان کرد: در حال حاضر مهمترین عامل، داشتن آرامش است و علاوه بر اینکه نباید ترس بالایی داشت، باید فاصله اجتماعی و نکات بهداشتی را رعایت کرد.
به گفته ربیعی اگر این مسائل رعایت شود ما از این بحران به یاری خداوند عبور خواهیم کرد و مسلماً این ویروس تا زمان تولید دارو و واکسن در کنار ما هست و به احتمال زیاد در سال جاری هم این ویروس را در کنار خود خواهیم داشت که باید تدابیر لازم را برای مقابله با آن داشته باشیم و سبک زندگی جدید در دوران کرونایی را بپذیریم.
دیدگاه تان را بنویسید